top of page
Notre galerie des sourires :)

Cas 35 Avant / Après
4 implants à la mandibule et 2 nouvelles prothèses


Cas 34 Avant / Après
Reconstruction complète du sourire avec couronnes de porcelaine et partiel de précision




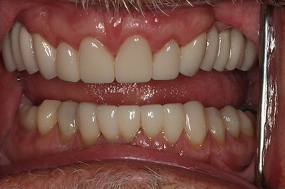
Cas 33 Avant / Après
Réhabilitation complète du sourire

_JPG.jpg)
_JPG.jpg)

Cas 32 Avant / Après
Blanchiment dentaire, 4 facettes de porcelaine



Cas 31 Avant / Après
6 facettes et 8 couronnes de porcelaine , blanchiment




Cas 30 Avant / Après
4 facettes et 4 couronnes de porcelaine, un blanchiment dentaire



Cas 29 Avant / Après
Blanchiment dentaire, 3 couronnes de porcelaine


Cas 28 Avant / Après
Réhabilitation complète des 2 maxillaires. haut en porcelaine et bas en composite


Cas 27 Avant / Après
16 couronnes de composite




bottom of page


































.jpg)

.jpg)





.jpg)




.jpg)





.jpg)
.jpg)


.jpg)
.jpg)
.jpg)



.jpg)


.jpg)


.jpg)
.jpg)


_JPG.jpg)
_JPG.jpg)
_JPG.jpg)

_JPG.jpg)
_JPG.jpg)
_JPG.jpg)





_JPG.jpg)










